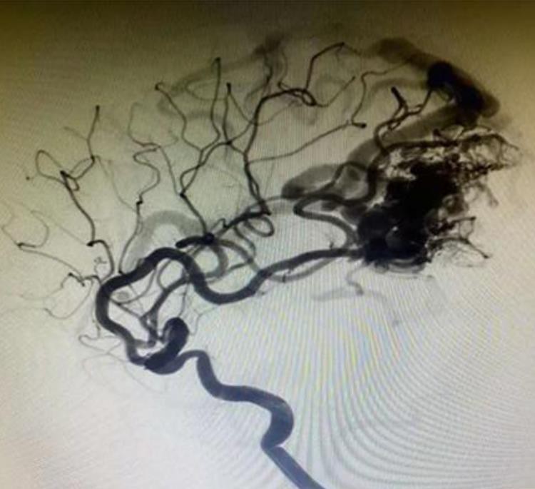
لاوا -12 انٹرایکرینیل اینوریسم مائع امبولک سسٹم
جب لاواٹی ایمانٹرایکرنیل اینوریسمز مائع امبولک سسٹم خون یا کسی بھی پانی کے حل کے ساتھ رابطہ کر رہا ہے ، اس کی سطح فوری طور پر مستحکم ہوجائے گی اور ایک حفاظتی فلم تشکیل دے گی۔ امبولک ایجنٹ میں ڈی ایم ایس او کو خون میں گھٹا اور پھیلا دیا جاتا ہے ، تاکہ ایوو کے ذریعہ لپیٹے ہوئے ٹینٹلم پاؤڈر کو باہر سے اندر تک مستحکم اور مستحکم کیا جائے۔ ایک ہی وقت میں ، لاوا انجکشن کے دباؤ میں بہت دور تک پھیلا ہوا ہے۔ آخر میں ، یہ ایمبولائزیشن کی پوزیشن پر ایک اسپونگی ایمبولک جسم تشکیل دیتا ہے۔

لاواٹی ایمانیوریسم ایمبولائزیشن سسٹم غیر چپکنے والے مواد سے بنا ہے ، لہذا یہ زیادہ محفوظ اور غیر اسٹک کیتھیٹر ہے۔
یہ ماڈلز کی مکمل رینج کے ساتھ کم ویسکوسیٹی کا انوکھا فارمولا ہے جس میں لاوا -12 ، لاوا -18 اور لاوا -34 ہے۔
اس میں بہتر بازی اور دخول ہے۔ اور یہ گھاووں میں گہرائی سے گھس سکتا ہے ، اور ڈسٹل برتن تک پہنچ سکتا ہے۔
ٹینٹلم پاؤڈر حریفوں کے مقابلے میں زیادہ بہتر ، زیادہ آہستہ آہستہ اور زیادہ واضح طور پر ریڈیوگرافی ہے۔

کے لئے نوٹانٹرایکرنیل اینوریسم مائع امبولک سسٹم
● مشاہدہ کریں کہ آیا لاوا مائع امبولک ایجنٹ مستحکم ہے ، اگر ایسا ہے تو ، اسے سب سے پہلے پگھلنے کی ضرورت ہے۔
vib وائیبریٹر پر لاوا مائع امبولک ایجنٹ ڈالیں۔
wib وائبریٹر کو اعلی سطح پر ایڈجسٹ کریں۔
for لرزنے کے لئے 20 منٹ سے بھی کم نہیں
● جب تک یہ استعمال نہ ہو۔
|
مصنوعات کا کوڈ |
واسکاسیٹی |
وضاحت |
|
لاوا -12 |
12 سی ایس ٹی |
ڈسٹل مائکروویسلز کے ل lower کم واسکاسیٹی ، زیادہ سیال ، |
|
لاوا -18 |
18 سی ایس ٹی |
معیاری فارمولا ، عام استعمال ؛ |
|
لاوا -34 |
34 سی ایس ٹی |
اعلی بہاؤ برتنوں کے لئے اعلی واسکاسیٹی۔ |











